Breast Augmentation - Silicone Implants
Breast Augmentation - Silicone Implants
Breast Augmentation - Silicone Implants
Breast Augmentation - Silicone Implants
Breast Augmentation - Silicone Implants
Breast Augmentation - Silicone Implants
Breast Augmentation - Silicone Implants
Breast Augmentation - Silicone Implants
Breast Augmentation - Silicone Implants
Breast Augmentation - Silicone Implants
Breast Augmentation - Silicone Implants
Revisionary Surgery for Implant Malposition and Visible Scarring
Mastoaugmentation (Breast Lift and Silicone Implants)
Mastopexy - No Implants Used
Mastopexy – No Implants
Breast Reduction
Lower Eyelid Blepharoplasty - Correction of Tear Trough
Upper and Lower Eyelid Blepharoplasty
Upper Eyelid Ptosis Repair and Blepharoplasty
Upper Eyelid Ptosis Repair and Male Blepharoplasty
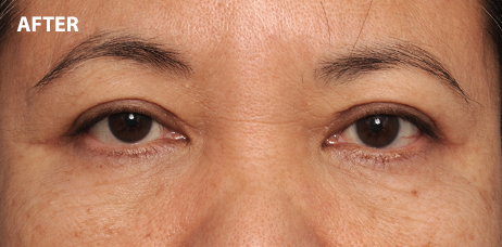
Upper Eyelid Blepharoplasty and Ptosis Repair
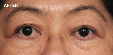
Upper and Lower Blepharoplasty
Upper and Lower Blepharoplasty
Upper and Lower Blepharoplasty
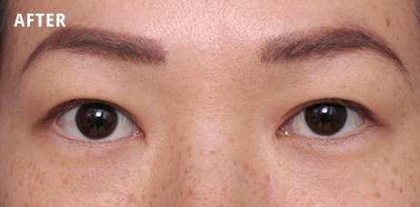
Asian Double Fold Eyelid Surgery
Asian Double Eyelid Blepharoplasty and Epicanthoplasty
Brow Lift Surgery/ Forehead Lift (No Eyelid Surgery Performed)
Forehead Lift/ Brow Lift
Mid-Face Lift and Upper/ Lower Blepharoplasties
Rhinoplasty/ Nose Surgery
Direct Neck Lift
Lower Face Lift and Neck Lift
Lower Face Lift and Neck Lift
Face Lift and Neck Lift
Upper and Lower Lip Augmentation with Perma Lip Silicone Implant
Please call us at (808) 522-4370 or email us